เมื่อวันที่ 24 ก.พ. เพจ Tensia ได้โพสต์ข้อความระบุว่า
ชาย 62 ปี เบ่งอุจจาระแรง จนล้มตึงไป ปากเบี้ยว ตรวจพบเลือดออกกลางสมอง
“เช้านี้เค้าเข้าห้องน้ำเหมือนทุกวัน
แต่หลังจากออกมาจากห้องน้ำ เค้าไม่เหมือนเดิมอีกแล้ว”
ชายอายุ 62 ปี มีโรคประจำตัวที่อยู่กับเขามานานหลายสิบปีคือ ความดันโลหิตสูง ซึ่งคุมความดันได้ไม่ดีเลย ตลอดหลายปีที่ผ่านมา ค่าความดันตัวบนของเขามักอยู่แถว ๆ 160–180 mmHg มาโดยตลอด
นัดไปบ้างไม่ไปบ้าง รับยามาแล้วก็ไม่ค่อยกิน วันไหนที่รู้สึกเวียนหัว คิดเอาเองว่าความดันขึ้น ถึงจะค่อยกินยา ดังนั้นกินจริงๆ คือน้อยมาก
วันเวลาผ่านไปไวเหมือนโกหก การไปวัดความดันแล้วเจอว่าความดันประมาณนี้ ก็คิดว่าเป็นปกติของตัวเองแล้วค่ะ รู้สึกผิดปกติ อาการอะไรแปลกๆ เค้าจะค่อยกินยา
ช่วงหนึ่งเดือนมานี้ เขามีปัญหาเรื่องท้องผูก เข้าห้องน้ำค่อนข้างนาน ภรรยาว่าจะพาไปส่องกล้องตรวจเพิ่มเติม และกลับไปรักษาความดันต่อ แกก็ปฏิเสธ
เช้าวันเกิดเหตุ แกเดินเข้าห้องน้ำเหมือนทุกวัน แต่ภรรยารู้สึกว่าแกเบ่งดังกว่าปกติ หลายรอบติดกัน
ซักพักก็เงียบไป เหมือนได้ยินเสียงกระทบพื้นห้องน้ำ ภรรยาเลยรีบเข้าไปดู พบว่าแกนอนเอียงอยู่กับพื้นห้องน้ำ เรียกชื่อเท่าไหร่ก็ไม่ตอบ แถมปากเบี้ยว
เธอรีบโทรเรียกรถพยาบาลทันที
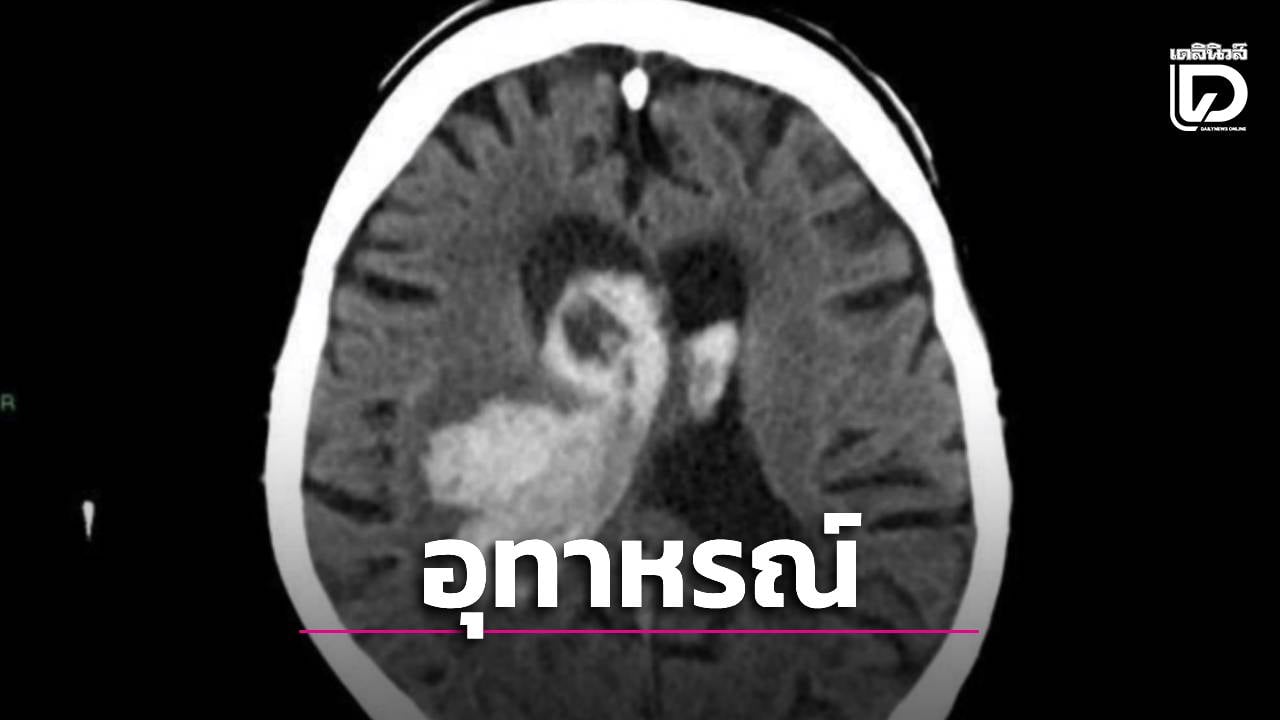
ที่ห้องฉุกเฉิน แพทย์ประเมินอย่างรวดเร็วแล้วพบว่าน่าจะเป็นโรคหลอดเลือดสมอง จึงรีบส่ง CT สมองทันที
ผลคือมีเลือดออกในใจกลางสมองส่วนที่เรียกว่า
Thalamus แถมเลือดทะลักเข้าโพรงสมอง
ซึ่งเป็นหนึ่งในตำแหน่ง ‘ขาประจำ’ ของเลือดออกในสมองจากความดันโลหิตสูง (รองจาก Basal ganglia) เพราะเป็นตำแหน่งที่หลอดเลือดได้รับแรงเฉือนสูงสุด เมื่อทุกช่วงเวลาของชีวิต ความดันอยู่ในระดับสูงตลอด มันจะค่อยๆ ทำลายผนังไปเรื่อยๆ จนเส้นใยพัง กล้ามเนื้อเรียบที่เสริมความแข็งแรงอยู่ก็พัง
ในที่สุดมันจะโป่งออกเป็นกระเปาะเล็กๆ (Charcot-Bouchard aneurysm) ซ่อนตัวอยู่ในความเงียบ รอวันที่ความดันพุ่งขึ้นมาเฉียบพลัน จะฉีกกระเปาะนี้แล้วเลือดทะลักออกมา
ซึ่งผู้ป่วยรายนี้มีปัญหาท้องผูกและกลั้นเบ่งพอดี เพราะการกลั้นเบ่ง (Valsalva maneuver) พอคลายการเบ่งเมื่อไร ความดันจะพุ่งกระฉูดทันที
ซึ่งเดิมทีความดันผู้ป่วยก็สูงอยู่แล้ว ก็จะพุ่งขึ้นไปอีก ในที่สุดก็ฉีกกระเปาะที่มีไว้อยู่เดิมขาดแล้วเลือดออกท่วมสมองส่วน Thalamus ก้อนเลือดดันไปกดใยประสาทการเคลื่อนไหว (Internal capsule) ซึ่งทำให้เกิดการอ่อนแรงครึ่งซีกเฉียบพลัน
สิ่งที่อยากฝากไว้จากเคสนี้คือ
1 ความดันโลหิตสูง โคตรน่ากลัว มันกัดกินหลอดเลือดของเราทีละน้อย รู้ตัวอีกทีเกิดภาวะแทรกซ้อนแล้ว ต้องคุมความดันทั้งการปรับพฤติกรรมแบบจริงจัง ถ้าถึงที่สุดแล้วปรับยังไงก็ไม่ลง ควรรับยาไปกินคุมอาการค่ะ ถ้าทุกอย่างเข้าที่แล้ว เดี๋ยวแพทย์จะลดยาแล้วสุดท้ายหยุดยาได้
2 ถ้าท้องผูก ควรปรับพฤติกรรมเคร่งครัดค่ะ
– กินผักผลไม้ (หวานน้อย) ที่มีเส้นใย
– ดื่มน้ำให้เพียงพอเพื่อลด ADH ทำให้ร่างกายไม่ดึงน้ำกลับมากเกินไป ส่งผลให้ก้อนอุจจาระไม่แข็งจนเกินไปค่ะ
– ออกกำลังกายสม่ำเสมอ
– ถ้าท้องผูกมาก ควรพบแพทย์หาสาเหตุและใช้ยาระบายที่เหมาะสม
3 ถ้ามีอาการ
– ปวดหัวเฉียบพลันมากผิดปกติ
– หน้ามืด แขนขาอ่อนแรง
– พูดไม่ชัด หน้าเบี้ยว
หรืออาการใดที่ไม่ปกติแบบเฉียบพลัน
เรียกคนช่วย / โทร. 1669 ทันที



