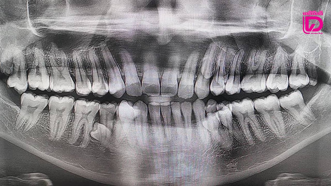
ถ้าคุณคิดว่าการดูแลฟัน 32 ซี่เป็นเรื่องยาก ลองนึกถึงชายคนนี้ดู ล่าสุด กินเนสส์เวิลด์เรคคอร์ด (Guinness World Records) เพิ่งให้การรับรองสถิติโลกใหม่ กับชายชาวมาเลเซียวัย 33 ปี ปราตาป มุนยันดี (Pratap Muniyandi) หลังจากผลตรวจทางทันตกรรมยืนยันว่าเขามีฟันรวมกันถึง 42 ซี่ คนปกติมีฟัน 32 ซี่ แต่ ปราตาป มี 42 ซี่ (เกินมา 10 ซี่!)
เขาเริ่มเอะใจเมื่อ 5 ปีก่อนตอนนั่งดื่มชา แล้วรู้สึกว่ามีฟันงอกเพิ่มขึ้นเรื่อยๆ จากที่นับได้ 38 ซี่ จนพุ่งไปถึง 42 ซี่ในช่วงต้นปี 2023 ที่น่าทึ่งที่สุดคือ ฟันส่วนเกินเหล่านี้ “ขึ้นมาอย่างเป็นระเบียบ” และไม่รบกวนชีวิตประจำวันของเขาเลย
ปราตาปเล่าติดตลกว่า ถ้าเขาไม่บอก ก็แทบไม่มีใครสังเกตเห็นเลยด้วยซ้ำ
ก่อนหน้านี้ ในปี 2024 เด็กหญิงชาวบราซิล ทำสถิติมีฟันทั้งหมด 81 ซี่ รวมทั้ง ฟันน้ำนม ฟันแท้ และฟันเกิน แต่ ปราตาป เป็นผู้ครองสถิติฟันแท้มากสุด
ภาวะ “ฟันเกิน” (Hyperdontia) ที่เกิดขึ้นกับ ปราตาป พบได้บ่อยแค่ไหน?
การมีฟันเกิน 1-2 ซี่เป็นเรื่องที่พบได้ทั่วไป แต่การมีเกินมาถึง 10 ซี่แบบปราตาปนั้น “หายากยิ่งกว่างมเข็มในมหาสมุทร”
ข้อควรระวังคือ ฟันเกินมักแอบซ่อนอยู่ใต้เหงือก หรือบางครั้งอาจเบียดฟันซี่อื่นจนเก ทำให้ทำความสะอาดยากและเสี่ยงต่อเหงือกอักเสบ
ที่มาและภาพ : insight korea, Guinness World Records



